PCR(聚合酶鏈式反應)技術已成為分子生物學研究必備技能,DNA聚合酶是PCR能否成功的關鍵。從早期被發現的Taq DNA聚合酶到現在新酶的發現和對舊酶的改造,DNA聚合酶的保真性、特異性、靈敏度等都獲得了明顯的改進。
隨著相關研究技術的深入和研究樣本越發復雜,在基因克隆、二代測序、定點突變等實驗中,都面臨著更加嚴苛的PCR結果準確性要求。因此,對DNA聚合酶的保真性要求日益提高。超保真DNA聚合酶有聚合中心和酶切中心,聚合中心具有5'→3'的DNA聚合酶活性,可沿 5'→3'方向催化合成 DNA;酶切中心具有3'→5'外切酶活性,即校正活性,可以進行堿基錯配的修復,保證DNA復制的忠實性。
超保真DNA聚合酶工作原理示意圖

PCR過程中錯配的核苷酸會從聚合中心進入酶切中心被切除(圖a、b);
切除后此位點會重新結合正確的核苷酸,繼續從5’到3’進行精準復制(圖c)。
-
超保真酶品類繁多,如何篩選一款適合自己的呢?
-
GenStar SuperNova系列,性價比之王,專治超保真DNA聚合酶選擇困難癥。
GenStar SuperNova系列五大特點
1、保真度超高:保真度是 Taq DNA Polymerase 的80倍;
2、延伸速度快:延伸速度約為 15-30 s/kb,不超過 1 min/kb;
3、擴增性能優:長片段擴增能力強,且可高效擴增復雜基因組模板和高 GC 模板;
4、模板適用性好:適用于多種物種來源模板的擴增;
5、應用范圍廣:適用于基因克隆、高通量測序、定點突變等;
優化的延伸因子,提高擴增速度和延伸性能

SuperNova DNA Polym-erase延伸速度約為 15-30 s/kb,簡單模板擴增長度可達20 kb,復雜模板可達13 kb

SuperNova DNA Polymerase擴增效率高
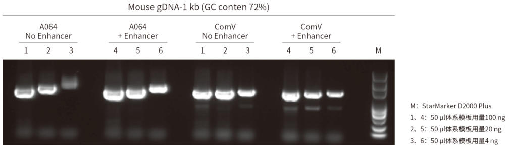
復雜模板(如GC-rich)擴增能力強,可選擇產品中配備的High-GC Enhancer,可進一步提高擴增效率

模板適用性廣泛
適用于多物種來源模板的擴增,滿足不同科研需求。
